ಡಯಾಸ್ಟೆಮಾ

ಮುಂಭಾಗದ ಎರಡು ಮಧ್ಯದ ಬಾಚಿ ಹಲ್ಲುಗಳ ನಡುವೆ ಖಾಲಿ ಜಾಗ ಅಥವಾ ಎಡೆ ಇದ್ದಲ್ಲಿ ಅದನ್ನು ಡಯಾಸ್ಟೆಮಾ ಎಂದು ದಂತ ವೈದ್ಯಕೀಯ ಭಾಷೆಯಲ್ಲಿ ಕರೆಯಲಾಗುತ್ತದೆ. ಇದೊಂದು ನೋಡಲು ಸಹ್ಯವಲ್ಲದ ಮತ್ತು ವ್ಯಕ್ತಿಯ ಸೌಂದರ್ಯಕ್ಕೆ ಪೂರಕವಲ್ಲದ ಪರಿಸ್ಥಿತಿಯಾಗಿದ್ದು ಮುಖದ ಅಂದವನ್ನು ಕೆಡಿಸುತ್ತದೆ. ಯಾವ ವ್ಯಕ್ತಿಯೂ ತನ್ನ ಮುಂಭಾಗದ ಬಾಚಿ ಹಲ್ಲುಗಳ ನಡುವೆ ಖಾಲಿಜಾಗ ಅಥವಾ ಎಡೆ ಇರುವುದನ್ನು ಇಷ್ಟ ಪಡುವುದಿಲ್ಲ. ಎಲ್ಲರಿಗೂ ಮುತ್ತು ಪೋಣಿಸಿದ ರೀತಿಯಲ್ಲಿ ಹಲ್ಲು ಇರುವುದನ್ನೇ ಇಷ್ಟಪಡುತ್ತಾರೆ. ಸಾಮಾನ್ಯವಾಗಿ ಮೇಲ್ಭಾಗದ ಬಾಚಿ ಹಲ್ಲುಗಳು 7 ರಿಂದ 8 ವರ್ಷಗಳ ಹೊತ್ತಿಗೆ ಬಾಯಿಯಲ್ಲಿ ಮೂಡುತ್ತದೆ. ಹಲ್ಲು ಹುಟ್ಟುವಾಗ ಹಲ್ಲುಗಳ ನಡುವೆ ಎಡೆ ಇರುವುದು ಸಹಜ. ಮೇಲ್ಭಾಗದ ಕೋರೆ ಹಲ್ಲುಗಳು ಹುಟ್ಟುವಾಗ ಪಕ್ಕದ ಬಾಚಿ ಹಲ್ಲುಗಳ ಮೇಲೆ ಒತ್ತಡ ಹಾಕುವುದರಿಂದ ಎರಡು ಮಧ್ಯದ ಬಾಚಿ ಹಲ್ಲುಗಳ ನಡುವೆ ಈ ರೀತಿ ಸಹಜವಾದ ಎಡೆ ಬುರುವುದು ಸ್ವಾಭಾವಿಕ. ಕೋರೆ ಹಲ್ಲು ಪೂರ್ಣವಾಗಿ ಬಾಯಿಯಲ್ಲಿ ಹುಟ್ಟಿಕೊಂಡಾಗ ಈ ಎಡೆ ತನ್ನಿಂತಾನೇ ಮುಚ್ಚಿಕೊಳ್ಳುತ್ತದೆ. ಇದನ್ನು ದಂತ ವೈದ್ಯಕೀಯ ಭಾಷೆಯಲ್ಲಿ ‘ಅಗ್ಲಿ ಡಕ್ಲಿಂಗ್’ ಹಂತ ಎನ್ನುತ್ತಾರೆ. ಕೋರೆ ಹಲ್ಲುಗಳು ಪೂರ್ತಿಯಾಗಿ ಹುಟ್ಟಿದ ನಂತರವೂ ಕೋರೆ ಬಾಚಿ ಹಲ್ಲುಗಳ ನಡುವೆ ಈ ರೀತಿ ಎಡೆ ಇದ್ದಲ್ಲಿ ಅದನ್ನು ‘ಡಯಾಸ್ಟೆಮಾ’ ಎನ್ನುತ್ತಾರೆ. ಸಾಮಾನ್ಯವಾಗಿ 11 ವರ್ಷದ ಹೊತ್ತಿಗೆ ಕೋರೆಹಲ್ಲು ಪೂರ್ತಿಯಾಗಿ ಬಾಯಿಯಲ್ಲಿ ಮೂಡುತ್ತದೆ. ಆ ಬಳಿಕವೂ ಬಾಚಿ ಹಲ್ಲುಗಳ ನಡುವೆ ಎಡೆ ಇದ್ದಲ್ಲಿ ತಕ್ಷಣವೇ ದಂತ ವೈದ್ಯರನ್ನು ಕಾಣತಕ್ಕದ್ದು.
ಕಾರಣಗಳು ಏನು?
ಡಯಾಸ್ಟೆಮಾಗೆ ಹಲವಾರು ಕಾರಣಗಳಿದ್ದು ಮುಖ್ಯವಾಗಿ ಹಲವಾರು ಕಾರಣಗಳು ಒಟ್ಟುಗೂಡಿ ಈ ಸ್ಥಿತಿಗೆ ಕಾರಣವಾಗುವ ಸಾಧ್ಯತೆ ಇರುತ್ತದೆ.
1. ಮಧ್ಯದ ಎರಡು ಬಾಚಿ ಹಲ್ಲುಗಳ ನಡುವೆ ದಪ್ಪವಾದ ಫ್ರೀನಮ್ ಎಂಬ ಒಂದು ಜೋಡಣೆ ಇದ್ದಲ್ಲಿ, ಇದು ಎರಡು ಹಲ್ಲುಗಳು ಹತ್ತಿರ ಬಾರದಂತೆ ತಡೆಯುತ್ತದೆ. ಹೆಚ್ಚಿನ ಎಲ್ಲಾ ಸಂದರ್ಭಗಳಲ್ಲಿ ಈ ಫ್ರೀನಮ್ ಜೋಡಣೆಯೇ ಡಯಾಸ್ಟೆಮಾಗೆ ಕಾರಣವಾಗಿರುತ್ತದೆ.
2. ಆನುವಂಶಿಕ ಕಾರಣಗಳಿಂದಲೂ ಈ ಪರಿಸ್ಥಿತಿ ಬರುವ ಸಾಧ್ಯತೆ ಇದೆ.
3. ವಿೂಸಿಯೋ ಡೆನ್ಸ್ ಎಂಬ ಅನಧಿಕೃತವಾದ ಅನಗತ್ಯವಾದ ಚಿಕ್ಕ ಹಲ್ಲು ಎರಡು ಬಾಚಿ ಹಲ್ಲುಗಳ ನಡುವೆ ಇದ್ದಲ್ಲಿ ಡಯಾಸ್ಟೆಮಾ ಉಂಟಾಗಬಹುದು.
4. ನಾಲಿಗೆ ಕಚ್ಚುವುದು ಅಥವಾ ನಾಲಗೆಯಿಂದ ಹಲ್ಲನ್ನು ತಳ್ಳುವ ಹವ್ಯಾಸ, ಬೆರಳು ಚೀಪುವುದರಿಂದಲೂ ಹಲ್ಲುಗಳ ಮಧ್ಯೆ ಡಯಾಸ್ಟೆಮಾ ಉಂಟಾಗುವ ಸಾಧ್ಯತೆ ಇದೆ.
5. ಹಲ್ಲಿನ ಬೆಳವಣಿಗೆ ಸಂದರ್ಭದಲ್ಲಿ 9ರಿಂದ 11 ವರ್ಷಗಳ ಮಿಶ್ರದಂತಗಳ ಸಂದರ್ಭದಲ್ಲಿ, ಕೋರೆ ಹಲ್ಲು ಹುಟ್ಟುವ ಸಂದರ್ಭದಲ್ಲಿಯೂ ನೈಸರ್ಗಿಕ ಸಹಜ ಕಾರಣದಿಂದ ಡಯಾಸ್ಟೆಮಾ ಉಂಟಾಗಬಹುದು.
6. ಹಲ್ಲು ಮತ್ತು ದವಡೆಯ ಗಾತ್ರದಲ್ಲಿನ ವ್ಯತ್ಯಾಸದಿಂದಾಗಿ ಎರಡು ಹಲ್ಲುಗಳ ಮಧ್ಯ ಎಡೆ ಬರುವ ಸಾಧ್ಯತೆ ಇದೆ.
7. ಮೇಲ್ಭಾಗದ ದವಡೆಯಲ್ಲಿ ಮಾಕ್ಸಿಲಾ ಎಂಬ ಎರಡು ಎಲುಬು ಇದ್ದು ಅವುಗಳ ಕಾರಣಾಂತರಗಳಿಂದ ಮಧ್ಯಭಾಗದಲ್ಲಿ ಸರಿಯಾಗಿ ಜೋಡಣೆ ಆಗದಿದ್ದಲ್ಲಿ ಹಲ್ಲುಗಳ ಮಧ್ಯ ಡಯಾಸ್ಟೆಮಾ ಬರಬಹುದು.
8. ಅತಿಯಾದ ವೇಗದಿಂದ ಮೇಲಿನ ದವಡೆಯ ಗಾತ್ರವನ್ನು ಹಿಗ್ಗಿಸಿದಾಗಲೂ ಈ ಡಯಾಸ್ಟೆಮಾ ಸಮಸ್ಯೆ ಉದ್ಭವವಾಗಬಹುದು.
ಪತ್ತೆ ಹಚ್ಚುವುದು ಹೇಗೆ?
1. ದಂತ ಕ್ಷಕಿರಣದ ಮುಖಾಂತರ ದವಡೆಯ ಒಳಭಾಗದಲ್ಲಿ ಹುದುಗಿರುವ ಅನಧಿಕೃತ ಹಲ್ಲನ್ನು ಗುರುತಿಸಬಹುದು.
2. ಆನುವಂಶಿಕ ಕಾರಣಗಳಲ್ಲಿ ರೋಗಿಯ ಹೆತ್ತವರ ಮತ್ತು ಸಂಬಂಧಿಕರ ಹಲ್ಲನ್ನು ಪರೀಕ್ಷಿಸಿ ರೋಗ ನಿರ್ಣಯ ಮಾಡಲಾಗುತ್ತದೆ.
3. ರೋಗಿಯ ಮತ್ತು ಹೆತ್ತವರ ಆಪ್ತ ಸಮಾಲೋಚನೆ ಮತ್ತು ಪರಿಪೂರ್ಣ ಚರಿತ್ರೆಯನ್ನು ಅಭ್ಯಸಿಸಿ ಯಾವುದಾದರೂ ಕೆಟ್ಟ ಹವ್ಯಾಸವಿದೆಯೇ ಎಂದು ತಿಳಿಯಲಾಗುತ್ತದೆ.
ಕೊನೆಮಾತು:
ಹಲ್ಲುಗಳ ಮಧ್ಯಭಾಗದ ಡಯಾಸ್ಟೆಮಾ ಎನ್ನುವುದು ಮುಖದ ಅಂದಗೆಡಿಸುವ ಮುಜುಗರ ಉಂಟು ಮಾಡುವ ದೈಹಿಕ ದಂತ ಸಮಸ್ಯೆಯಾಗಿದ್ದು ಹಲವಾರು ಕಾರಣಗಳಿಂದ ಉಂಟಾಗಬಹುದು. ಸಕಾಲದಲ್ಲಿ ಗುರುತಿಸಿ ಸೂಕ್ತ ಚಿಕಿತ್ಸೆ ನೀಡಿದಲ್ಲಿ ಶಾಶ್ವತವಾದ ಪರಿಹಾರ ಪಡೆಯಲು ಸಾಧ್ಯವಿದೆ. ಚಿಕಿತ್ಸೆಯಲ್ಲಿ ಸರ್ಜರಿಯಿಂದ ಹಿಡಿದು, ಸರಿಗೆ ಚಿಕಿತ್ಸೆ, ಹಲ್ಲಿನ ಬಣ್ಣದ ಸಿಮೆಂಟ್ ಬಳಸಿ ಎಡೆಯನ್ನು ತುಂಬಿಸುವುದು ಎಂಬಿತ್ಯಾದಿ ಬಗೆಗಳಿದ್ದು ಯಾವ ಚಿಕಿತ್ಸೆ ಹೇಗೆ ಯಾರು ಮಾಡಬೇಕು ಎನ್ನುವುದನ್ನು ನಿಮ್ಮ ದಂತ ವೈದ್ಯರೇ ನಿರ್ಧರಿಸುತ್ತಾರೆ. ಚಿಕಿತ್ಸೆ ಮಾಡಿದ ಬಳಿಕವೂ ಈ ಸಮಸ್ಯೆ ಮರುಕಳಿಸಬಾರದು ಎಂಬ ಉದ್ದೇಶದಿಂದ ನಿರಂತರ ವೈದ್ಯರ ಸಲಹೆ ಸೂಚನೆ ಮತ್ತು ಮಾರ್ಗದರ್ಶನ ಅತೀ ಅವಶ್ಯಕ. ವೈದ್ಯರ ಸಲಹೆಯನ್ನು ಚಾಚೂ ತಪ್ಪದೇ ಪಾಲಿಸಿದಲ್ಲಿ ನೀವು ಜೀವನ ಪರ್ಯಂತ ನಗುತ್ತಾ ನಗಿಸುತ್ತಾ ಇರಬಹುದು.
ಚಿಕಿತ್ಸೆ ಹೇಗೆ?
1. ಸರ್ಜರಿ: ಮೇಲಿನ ದವಡೆಯ ಹಲ್ಲಿನ ಬಾಚಿ ಹಲ್ಲಿನ ನಡುವೆ ಮಧ್ಯಭಾಗದಲ್ಲಿ ಫ್ರೀನಮ್ ಎಂಬ ದಪ್ಪವಾದ ಜೋಡಣೆ ಇದ್ದಲ್ಲಿ, ಸರ್ಜರಿ ಮುಖಾಂತರ ಪ್ರೀನೆಕ್ಟಮಿ ಮಾಡಿ ಅನಗತ್ಯವಾದ ಫ್ರೀನಮ್ ಅನ್ನು ಕಿತ್ತೆಸೆಯಲಾಗುತ್ತದೆ. ಲೇಸರ್ ಮುಖಾಂತರವೂ ಈ ಚಿಕಿತ್ಸೆ ಮಾಡಬಹುದಾಗಿದೆ. ಲೇಸರ್ ಚಿಕಿತ್ಸೆ ಮಾಡಿದಲ್ಲಿ ಹೊಲಿಗೆ ಅವಶ್ಯಕತೆ ಇರುವುದಿಲ್ಲ.
2. ನಾಲಿಗೆ ಕಚ್ಚುವ ಅಥವಾ ಬೆರಳು ಚೀಪುವ ಹವ್ಯಾಸವಿದ್ದಲ್ಲಿ ಹವ್ಯಾಸ ಬಿಡಿಸಲು ಅಗತ್ಯವಿರುವ ಹವ್ಯಾಸ ಕಂಟಕ ಸಾಧನಗಳನ್ನು ಬಳಸಿ ಮೊದಲು ಹವ್ಯಾಸವನ್ನು ಬಿಡಿಸಲಾಗುತ್ತದೆ. ಆ ಬಳಿಕ ಹಲ್ಲಿನ ನಡುವಿನ ಎಡೆಯನ್ನು ಮುಚ್ಚಲಾಗುತ್ತದೆ.
3. ವಕ್ರದಂತ ಚಿಕಿತ್ಸೆ ಮುಖಾಂತರ ಹಲ್ಲುಗಳ ನಡುವೆ ಇರುವ ಎಡೆಯನ್ನು ಮುಚ್ಚಲಾಗುತ್ತದೆ. ಎರಡು ಮಿಲಿ ಮೀಟರ್ಗಿಂತ ಕಡಮೆ ಇದ್ದಲ್ಲಿ ತೆಗೆದು ಹಾಕುವ ಸಾಧನ ಬಳಸಬಹುದಾಗಿದೆ. ಜಾಸ್ತಿ ಎಡೆ ಇದ್ದಲ್ಲಿ ಶಾಸ್ತ್ರೀಯವಾದ ವಕ್ರದಂತ ಚಿಕಿತ್ಸೆ ಅಗತ್ಯವಿರುತ್ತದೆ.
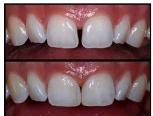
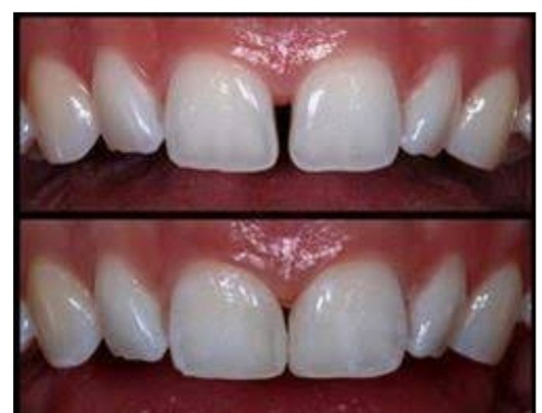
4. ಎರಡು ಹಲ್ಲಿನ ನಡುವಿನ ಎಡೆಯನ್ನು ಹಲ್ಲಿನ ಬಣ್ಣದ ಕಾಂಪೋಸಿಟ್ ಎಂಬ ಸಿಮೆಂಟ್ ಬಳಸಿ ಮುಚ್ಚಲಾಗುತ್ತದೆ. ಇದೊಂದು ಸೌಂದರ್ಯವರ್ಧಕ ಚಿಕಿತ್ಸೆಯಾಗಿದ್ದು ಮುಖದ ಅಂದವನ್ನು ಹೆಚ್ಚಿಸುವುಲ್ಲಿ ಗಮನಾರ್ಹ ಪಾತ್ರ ವಹಿಸುತ್ತದೆ.
5. ಎರಡು ಹಲ್ಲುಗಳ ನಡುವೆ ಮೇಲಿನ ದವಡೆಯ ಮಧ್ಯಭಾಗದಲ್ಲಿ ಮಿಸಿಯೋ ಡೆನ್ಸ್ ಎಂಬ ಅನಗತ್ಯ ಹಲ್ಲು ಇದ್ದಲ್ಲಿ, ಸರ್ಜರಿ ಮುಖಾಂತರ ಆ ಹಲ್ಲನ್ನು ತೆಗೆಯಲಾಗುತ್ತದೆ. ಗಾಯ ಒಣಗಿದ ಬಳಿಕ ಎರಡು ಹಲ್ಲಿನ ನಡುವಿನ ಎಡೆಯನ್ನು ಕೃತಕ ಹಲ್ಲಿನ ಬಣ್ಣ ಸಿಮೆಂಟಿನಿಂದ ತುಂಬಿಸಿ ಮುಖದ ಅಂದವನ್ನು ಹೆಚ್ಚಿಸಲಾಗುತ್ತದೆ.
6. ಒಟ್ಟಿನಲ್ಲಿ ಡಯಾಸ್ಟೆಮಾ ಚಿಕಿತ್ಸೆ ಎನ್ನುವುದು ಯಾವ ಕಾರಣದಿಂದ ಡಯಾಸ್ಟೆಮಾ ಬಂದಿದೆ ಎನ್ನುವುದು ಮೇಲೆ ಅವಲಂಬಿಸಲಾಗಿದೆ. ಡಯಾಸ್ಟೆಮಾಕ್ಕೆ ಕಾರಣವಾದ ಅಂಶಗಳಿಗೆ ಮೊದಲು ಚಿಕಿತ್ಸೆ ನೀಡಿದ ಬಳಿಕ ಹಲ್ಲಿನ ನಡುವಿನ ಎಡೆಯನ್ನು ಮುಚ್ಚಲಾಗುತ್ತದೆ. ಹೀಗೆ ಮಾಡಿದಲ್ಲಿ ಶಾಶ್ವತವಾದ ಪರಿಹಾರ ಸಿಗುವ ಸಾಧ್ಯತೆ ಹೆಚ್ಚಿರುತ್ತದೆ.







